Articles

Augmenter ses devis implantaires ... grâce à l'ortho

Le point sur l'Orthodontie esthétique et fonctionnelle du sourire en implantologie selon l'ISFESO© pour améliorer la qualité des résultats, le taux d'acceptation de vos devis et faire de vos patients vos meilleurs correspondants ...
Par le Dr Patrice BERGEYRON
Si le traitement implantaire a révolutionné la dentisterie et la réhabilitation prothétique, l'apparition en 2001 en France desaligneurs® (obtenus par stéréolithographie dans la résine liquide à partir d'un set-up informatique statique et dynamique)a, lui, révolutionné l'orthodontie au service de la réhabilitation globale, prothétique et esthétique. Désormais les possibilités de redresser les axes des dents restantes, et surtout à proximité des édentations, peut s'associer à l'alignement des dents et à l'éclaircissement dentaire. Ainsi selon l'ISFESO©, International Society of Functional Esthetic of Smile in Orthodontics(Société internationale d'orthodontie esthétique et fonctionnelle du sourire): «en 2012 tout le monde a le droit d'avoir les dents blanches et alignées avec un minimum de contraintes de gêne et de douleur».

Le choix de l'appareillage

Après avoir délivré une information éclairé au patient avec les avantages et inconvénients de chacune des solutions, l'orthodontiste propose différents appareillages orthodontiques du multibagues vestibulaire ou lingual aux aligneurs®. Le praticien l'informe des choix d'appareillage de l'ISFESO©: «Tous les appareillages permettent d'obtenir d'excellents résultats, ce n'est qu'un moyen et nos propositions se portent sur des appareillages esthétiques les plus confortables, les moins douloureux et les moins traumatisants tout en permettant la bonne hygiène dentaire et en limitant les effets secondaires.»

Expliquer aux patients

Les orthodontistes expliquent alors à leur patient (sans occulter les alternatives fixes) que leur choix se porte sur les aligneurs® afin de leur garantir une hygiène et des soins gingivaux ou parodontaux sans appareillage (conformément à la règle n°4, voir encadré ci-contre), avec moins de douleur (règle n°2), avec moins de rendez-vous car tous les aligneurs® sont des appareils uniques fabriqués tous à l'avance avec peu d'urgence (conformément aux règles n°5 et n°6). Le recouvrement des dents par un plastique transparent permet de rendre l'appareil invisible et de faire un blanchiment en même temps, la brillance et reflets multiples dans le plastique donne une impression d'alignement avec possibilité d'intégrer des facettes esthétiques conformément à la règle n°1 des appareillages de l'ISFESO©.

Particularités de l'OEFS par aligneurs®

Le diagnostic étant établi, les informations et alternatives existants concernant son plan de traitement et les moyens thérapeutiques étant délivrés, l'orthodontiste lui précise alors les particularités de l'orthodontie esthétique et fonctionnelle du sourire en implantologie par aligneurs®, à savoir:

1. Aligner et éclaircir les dents en même temps que la préparation de l'implant

La particularité de l'implant est qu'une fois intégré dans l'os il ne peut être déplacé par orthodontie, il va donc être positionné en fonction de l'occlusion du patient, parfois dans la mauvaise position de sa mauvaise occlusion. L'Orthodontie esthétique et fonctionnelle du sourire en implantologie réorganise la position des dents et de leur racine pour faire un implant plus fonctionnel avec des forces d'occlusion équilibrées dans son axe et plus esthétique car intégré dans un sourire plus blanc et plus aligné. Cet implant s'intègrera dans un nouveau sourire plus blanc et plus jeune, plutôt que dans l'ancien sourire qui a vieilli. Argumentaire: « Un implant intégré dans un sourire plus blanc et mieux aligné va rajeunir votre sourire. » La prothèse sera plus blanche et ne sera pas « jaune ou teintée» pour ressembler aux autres dents. Elle laisse ainsi la possibilté d'éclaircir les dents ... sans devoir la changer.

2. Possibilité de poser l'implant au cours du traitement OEFS

Il est possible de poser l'implant au cours du traitement orthodontique dès que la place dans l'os est faite entre les racines des autres dents, et en fonction du système et des habitudes du praticien (le maître d'oeuvre du plan de traitement). Il est inutile d'attendre la fin du traitement d'orthodontie, en effet l'absence de dispositif fixe permet à l'implantologiste et au chirurgien-dentiste de poser l'implant. Argumentaire: «A la fin du traitement si vous n'êtes pas prêt pour l'implant, les derniers aligneurs® maintiennent les dents et les espaces jusqu'à ce que vous soyez prêt.»

3. Prothèse implantaire plus blanches et mieux intégrée

Pour la dent prothétique provisoire, dès que la place est faite entre les couronnes dentaires sur l'arcade. Quant à la dent prothétique définitive, cela peut prendre plusieurs mois. La gouttière crée une désocclusion postérieure provisoire (une absence de contact) selon la durée du traitement, qui se corrige spontanément pour avoir des contacts naturels 6 mois après la fin du traitement. Il peut donc être conseillé de poser la prothèse définitive à ce moment et si l'éclaircissement convient.

Obtenir un déplacement contrôlé

L'évolution des technologies est au service de la santé. En ce qui concerne les nouveaux appareillages par aligneurs®, les orthodontistes et les chercheurs réfléchissent aux mouvements qu'ils délivrent par l'intermédiaire des forces appliquées pour obtenir un déplacement dentaire conforme à l'image virtuelle et intégrant le déplacement radiculaire.

Les besoins de réhabilitation globale de l'adulte

En ce qui concerne l'adulte nécessitant la réhabilitation globale, l'orthodontie doit être au service du praticien qui gère le plan de traitement, car certains mouvements ou déplacements seront inutiles car gérés par le plan de traitement prothétique. Il semble donc que si l'orthodontie sur dents saines et ortho-chirurgicale de l'adulte ainsi que l'intégration de la croissance semble rester une spécialité, l'orthodontie de réhabilitation prothétique globale de l'adulte par aligneur® semble être une spécifique du praticien généraliste intégrant l'esthétique, la parodontologie, la prothèse et l'implantologie dans sa pratique quotidienne. Dans ce cas une formation spécifique sur les aligneurs® et l'utilisation des auxiliaires associé à un laboratoire qui réalise un « wax up orthodontique » c'est-à-dire un clincheck selon les prescriptions et le projet de réhabilitation du praticien, délivrant ainsi des aligneurs® dont les taquets et la vitesse de déplacement sont régulés par leur équipe de spécialistes. Dans l'autre cas il reste nécessaire de s'adresser à son correspondant habituel, ou un orthodontiste habitué à l'adulte et l'appareil Invisalign.

L'APPORT D'ALIGN TECHNOLOGY

L'apport d'Align Align technology emploie 200 ingénieurs dirigés par John Norton {l'ancien ingénieur de Burstone avec qui il a étudié dans les années 70 la biomécanique des forces exercées par les fils métalliques à travers les attaches ou brochet dentaire}. Ses recherches permettent de limiter les ajouts d'auxiliaires au traitement tels les mini-vis, les élastiques de traction, de dérotation. Aujourd'hui en 2012 et avec plus de 2 000 cas traités (avec Invisalign) et plus de 100 conférences et articles sur la technique, nous sommes convaincus que l'appareillage ne sera éternellement qu'un outil à la disposition du praticien. Il est seul avec son patient et a établi un plan de traitement unique intégrant l'évolution scientifique et la particularité du cas clinique qui lui est confié.

CAS CLINIQUE

Notre patient nous est adressé pour redresser l'axe de la 36 afin de poser un implant. Après lui avoir fait un bilan ODF complet, nous lui proposons différentes solutions du redressement molaire à l'alignement des arcades pour améliorer le contexte parodontal jusqu'au traitement d'orthodontie complet en recréant une classe 1 dentaire, le patient choisit l'alignement et l'amélioration globale en même temps que le redressement dentaire.

Photos du clin check

le clincheck est un set-up "wax up informatique". qui permet de visualiser les objectifs de traitement. C'est une image 3D statique de début et de fin associé à une image dynamique pour adapter la vitesse et le lieu de déplacement entre chaque aligneur®. Ce modèle est la base de la fabrication de toute la série d'aligneurs® à l'avance. Sur notre patient, les photos du clincheck avant et après de l'arcade supérieure et inférieure montrent l'alignement des deux arcades et l'ouverture de l'espace implantaire.

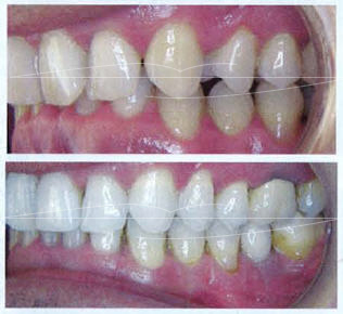
Comparaison des photos de sourire de face avant et après On remarque sur la photo du sourire de face l'encombrement disgracieux aux deux arcades associé avec une dysharmonie esthétique des axes et positions prémolo-molaires avec des dents relativements "jaunes", le sourire paraît vieux et vieillissant chez un adulte de 45 ans.

Conclusion

le traitement a permis en 15 mois et « trois rendez-vous orthodontiques» d'éclaircir le sourire alignant et réharmonisant les dents pour dégager un sourire plus blanc, mieux aligné et plus jeune, reflet d'une meilleur santé. le patient ressent une satisfaction fonctionnelle et esthétique qui lui permet de mieux partager et de recommander son expérience à son entourage.

Discussion

Sans l'alignement et l'éclaircissement, la restauration implantaire serait passée inaperçue. l'absence d'appareillage fixe dans la bouche du patient a diminué la contrainte de la phase orthodontique et a facilité la pose de l'implant. II aurait été intéressant de coupler les séances orthos par des détartrages et soins parodontaux dans le même cabinet.

M